-
蛋白&免疫印迹
蛋白制备 蛋白电泳制胶试剂盒 Tris-Glycine玻璃板预制胶 Tris-Hepes玻璃板预制胶 Bis-Tris塑料板预制胶 大分子蛋白电泳套装(醋酸预制胶) 小分子蛋白电泳套装(Tricine预制胶) 非变性蛋白电泳套装( 非变性预制胶) 蛋白上样缓冲液 蛋白marker 电泳缓冲液&速溶颗粒 蛋白凝胶染色试剂蛋白转印 印迹孵育及检测 蛋白组学试剂蛋白提取试剂(蛋白组学) 蛋白酶(蛋白组学)蛋白电泳及转印仪器&零配件重组胰蛋白酶(质谱级) 重组赖氨酰内切酶(质谱级) IdeZ Protease(免疫球蛋白G降解酶) IdeS Protease(免疫球蛋白G降解酶) PNGase F((N-糖酰胺酶F或肽N-糖苷酶 F) Endo H(糖苷内切酶 H)相关耗材(蛋白组学)
- 抗体&抗原
- 免疫沉淀、免疫共沉淀试剂(IP、Co-IP)
- 细胞分选磁珠
- 免疫组化、免疫荧光
- ELISA 相关产品
- 分子生物学相关产品
- 染色液
- 检测试剂盒
- 细胞培养与检测
- 细胞资源库
- 常规试剂
- 标准溶液
- 动物实验
- 小动物成像
- 生化试剂
- 外泌体试剂
- 常用实验器材
- 圣尔生物明星产品
- 新品推荐
- 圣尔周边
- 技术服务
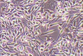
RBL-2H3大鼠嗜碱性白血病细胞系 RBL-2H3 rat basophilic leukemia cells
| 货 号 | SB-RC1164 | ||
|---|---|---|---|
| 英 文 名 | RBL-2H3 rat basophilic leukemia cells | ||
| 规 格 | T25培养瓶或1 mL冻存管包装 | ||
| 品 牌 | 圣尔生物share-bio | ||
| 一键复制产品信息 | |||
| 产品编号 | 名称 | 包装 | 品牌 | 目录价 | 促销价 | 货期 | 数量 | 购物车 |
| SB-RC1164 | RBL-2H3大鼠嗜碱性白血病细胞系 RBL-2H3 rat basophilic leukemia cells | T25培养瓶或1 mL冻存管包装 | 圣尔生物share-bio | ¥1200.00 |
|
RBL-2H3大鼠嗜碱性白血病细胞系 RBL-2H3 rat basophilic leukemia cells 介绍
| 产品详情 | 种属 大鼠 别称 RBL2H3; RBL 2H3; RBL.2H3 组织来源 外周血,嗜碱性粒细胞 疾病 嗜碱性白血病 传代比例/细胞消化 1:2传代 完全培养基配置 MEM培养基;15%胎牛血清;1%双抗 简介 RBL-2H3是1978年国立牙科研究所的免疫学实验室从Wistar大鼠保持肿瘤状态的嗜碱性细胞中分离和克隆出来的嗜碱性白血病细胞株。这些细胞具有高亲和力的IgE受体。通过集聚这些受体或与钙离子载体协同作用可以激活它们分泌组胺及其他递质。这株细胞广泛地用于研究肥大细胞FcERI和分泌的生化途径。RBL-2H3细胞是研究FcERI结构的模型。它们广泛地用于研究细胞分泌的不同方面,包括细胞内钙浓度改变、磷酸脂酶激活、蛋白激酶和小G蛋白的作用。虽然几乎所有批号的FBS都支持细胞的生长,但在某些批号中FcERI集聚后脱粒化得更好。另一株大鼠嗜碱性细胞株(RBL,ATCC CRL-1378)不会脱粒化。 形态 成纤维细胞 生长特征 贴壁 倍增时间 ~50-60h 基因表达 histamine 受体表达 FcERI (Fc of IgE) 培养条件 气相:空气,95%;二氧化碳,5%。 温度:37摄氏度,培养箱湿度为70%-80%。 冻存条件 冻存液:90%FBS,DMSO 10%, 保藏机构 ATCC; CRL-2256 |
|---|---|
| 储存条件及期限 | T25瓶:观察好细胞状态后,75%酒精消毒T25瓶外壁,将T25瓶置于37度培养箱放置2-4h,以便稳定细胞状态后传单;冻存管:收到细胞后,需立即转入液氮冻存或直接复苏 |
RBL-2H3大鼠嗜碱性白血病细胞系 RBL-2H3 rat basophilic leukemia cells 说明书
For research use only. Not intended for human and animal therapeutic or diagnostic use.
线上下单立享积分,加入圣尔会员,礼品随心兑!点击注册




