-
蛋白&免疫印迹
蛋白制备 蛋白电泳制胶试剂盒 Tris-Glycine玻璃板预制胶 Tris-Hepes玻璃板预制胶 Bis-Tris塑料板预制胶 大分子蛋白电泳套装(醋酸预制胶) 小分子蛋白电泳套装(Tricine预制胶) 非变性蛋白电泳套装( 非变性预制胶) 蛋白上样缓冲液 蛋白marker 电泳缓冲液&速溶颗粒 蛋白凝胶染色试剂蛋白转印 印迹孵育及检测 蛋白组学试剂蛋白提取试剂(蛋白组学) 蛋白酶(蛋白组学)蛋白电泳及转印仪器&零配件重组胰蛋白酶(质谱级) 重组赖氨酰内切酶(质谱级) IdeZ Protease(免疫球蛋白G降解酶) IdeS Protease(免疫球蛋白G降解酶) PNGase F((N-糖酰胺酶F或肽N-糖苷酶 F) Endo H(糖苷内切酶 H)相关耗材(蛋白组学)
- 抗体&抗原
- 免疫沉淀、免疫共沉淀试剂(IP、Co-IP)
- 细胞分选磁珠
- 免疫组化、免疫荧光
- ELISA 相关产品
- 分子生物学相关产品
- 染色液
- 检测试剂盒
- 细胞培养与检测
- 细胞资源库
- 常规试剂
- 标准溶液
- 动物实验
- 小动物成像
- 生化试剂
- 外泌体试剂
- 常用实验器材
- 圣尔生物明星产品
- 新品推荐
- 圣尔周边
- 技术服务
HRP标记GFP羊驼纳米抗体
| 货 号 | SB-AB1001 | ||
|---|---|---|---|
| 英 文 名 | HRP labeled Anti-GFP recombinant nanobody | ||
| 规 格 | 100μl | ||
| 品 牌 | 圣尔生物share-bio | ||
| 一键复制产品信息 | |||
| 产品编号 | 名称 | 包装 | 品牌 | 目录价 | 促销价 | 货期 | 数量 | 购物车 |
| SB-AB1001 | HRP标记GFP羊驼纳米抗体 | 100μl | 圣尔生物share-bio | ¥1000.00 |
|
HRP标记GFP羊驼纳米抗体 介绍
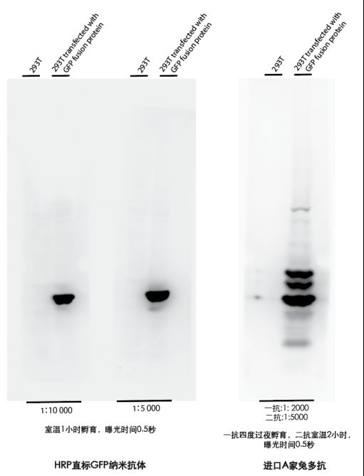
| 产品详情 | 简介: HRP辣根过氧化物酶直标GFP重组羊驼纳米抗体由高亲和力的羊驼纳米抗体共价偶联了辣根过氧化物酶,从而实现直接结合GFP蛋白,并进行化学发光反应。重组纳米抗体由发酵产生,省去了动物生产过程,保证了极高的批间一致性。纳米抗体特异性好,亲和力高,结合速度快,直标抗体省去了一抗孵育-洗涤-二抗孵育-洗涤的步骤,纳米抗体极高的亲和力使可于常温下1小时快速孵育,洗涤之后获得特异性极高的化学发光信号,可大大加速免疫化学发光的实验流程,同时提高实验结果质量。 稀释倍数:1:5000-1:10万(所示标准为测试浓度范围,具体应用的最佳稀释倍数受多种因素影响,实际使用请根据具体情况调整。) 特异性:能够直接结合GFP,EGFP,acGFP,mEGFP等绿色荧光蛋白变体 缓冲体系:20mM Hepes pH7.4, 150mM NaCl, 0.5% BSA, 0.05% Proclin300 应用场景:Western Blot,ELISA,In-Cell Western 等化学发光反应 产品特性: · 配体GFP纳米抗体为单域抗体,分子量小,亲和力高 · 抗体亲和力极高(KD~1pM),较传统抗体结合更加快速且稳定,室温1小时孵育结合即可满足绝大部分实验需求 · HRP直标一抗, 1小时一步孵育即可完成常规需要过夜和多步洗涤孵育的过程,大大提高实验进度 · 配体GFP纳米抗体,抗体稳定(TM~55℃),兼容绝大多数实验体系和缓冲液体系 · 抗体结构稳定,不容易受到保存条件和时间影响,实验批间差异小
|
|---|---|
| 储存条件及期限 | Store at +4°C short term. Store at -20°C long term. Avoid freeze / thaw cycle. |
HRP标记GFP羊驼纳米抗体 说明书
For research use only. Not intended for human and animal therapeutic or diagnostic use.
线上下单立享积分,加入圣尔会员,礼品随心兑!点击注册





