-
蛋白&免疫印迹
蛋白制备 蛋白电泳制胶试剂盒 Tris-Glycine玻璃板预制胶 Tris-Hepes玻璃板预制胶 Bis-Tris塑料板预制胶 大分子蛋白电泳套装(醋酸预制胶) 小分子蛋白电泳套装(Tricine预制胶) 非变性蛋白电泳套装( 非变性预制胶) 蛋白上样缓冲液 蛋白marker 电泳缓冲液&速溶颗粒 蛋白凝胶染色试剂蛋白转印 印迹孵育及检测 蛋白组学试剂蛋白提取试剂(蛋白组学) 蛋白酶(蛋白组学)蛋白电泳及转印仪器&零配件重组胰蛋白酶(质谱级) 重组赖氨酰内切酶(质谱级) IdeZ Protease(免疫球蛋白G降解酶) IdeS Protease(免疫球蛋白G降解酶) PNGase F((N-糖酰胺酶F或肽N-糖苷酶 F) Endo H(糖苷内切酶 H)相关耗材(蛋白组学)
- 抗体&抗原
- 免疫沉淀、免疫共沉淀试剂(IP、Co-IP)
- 免疫组化、免疫荧光
- ELISA 相关产品
- 分子生物学相关产品
- 细胞培养与检测
- 细胞资源库
- 常规试剂
- 外泌体试剂
- 小动物成像
- 生化试剂
- 常用实验器材
- 圣尔生物明星产品
- 新品推荐
- 圣尔周边
- 试用装
- 技术服务
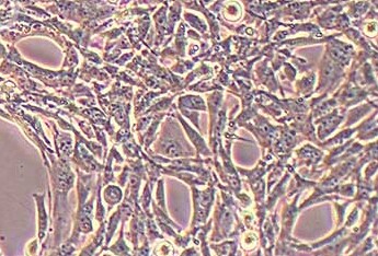
小鼠耳蜗毛细胞系HEI-OC1(种属鉴定) HEI-OC1 mouse cochlear hair cell line SB-MU2007
圣尔生物share-bio

小鼠耳蜗毛细胞系HEI-OC1(种属鉴定) HEI-OC1 mouse cochlear hair cell line
( 别名:HEIOC1; House Ear Institute-Organ of Corti 1 )
货 号 | SB-MU2007 | ||
---|---|---|---|
英 文 名 | HEI-OC1 mouse cochlear hair cell line | ||
规 格 | 1×10⁶cells/T25培养瓶 | ||
品 牌 | 圣尔生物share-bio | ||
一键复制产品信息 |
产品编号 | 名称 | 包装 | 品牌 | 目录价 | 促销价 | 货期 | 数量 | 购物车 |
SB-MU2007 | 小鼠耳蜗毛细胞系HEI-OC1(种属鉴定) HEI-OC1 mouse cochlear hair cell line | 1×10⁶cells/T25培养瓶 | 圣尔生物share-bio | ¥1500.00 |
|
小鼠耳蜗毛细胞系HEI-OC1(种属鉴定) HEI-OC1 mouse cochlear hair cell line 介绍
产品详情 | 种属 小属 别称 HEIOC1; House Ear Institute-Organ of Corti 1 组织来源 耳蜗 疾病 自发永生化细胞系 传代比例/细胞消化 1:2传代 完全培养基配置 DMEM 简介 小鼠耳蜗毛细胞系House Ear Institute-Organ of Corti 1(HEI-OC1)来源于小鼠耳蜗。该细胞用于研究小鼠听觉研究,被认为是一种用于筛选耳毒性药物的体外系统,已被用于研究药物激活的凋亡途径、自噬、衰老、炎症反应、细胞分化、药 物的遗传和表观遗传的作用,还有耳蜗中分子通道和受体的表达。 形态 上皮 生长特征 倍增时间 每周 2-3次 培养条件 气相:空气,95%;二氧化碳,5%。 温度:37°C,培养箱湿度为70%-80%。 冻存条件 冻存液:90%FBS,DMSO 10%, |
---|---|
储存条件及期限 | T25瓶:观察好细胞状态后,75 %酒精消毒T25瓶外壁,将T25瓶置于37度培养箱放置2-4h,以便稳定细胞状态后传单;冻存管:收到细胞后,需立即转入液氮冻存或直接复苏 |
搜索质检报告(COA)
搜索MSDS
暂无技术资料
小鼠耳蜗毛细胞系HEI-OC1(种属鉴定) HEI-OC1 mouse cochlear hair cell line 说明书
For research use only. Not intended for human and animal therapeutic or diagnostic use.
线上下单立享积分,加入圣尔会员,礼品随心兑!点击注册